نوآوری در تکثیر ماهی باس دریایی آسیایی
تکثیر ماهی باس دریایی: هورمونهای آهسته رهش، راز موفقیت پژوهشگران پژوهشکده آبزیپروری آبهای جنوب کشور
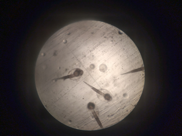
به گزارش روابطعمومی پژوهشکده آبزیپروری آبهای جنوب کشور، در یک گام مهم برای ارتقای صنعت آبزیپروری، پژوهشکده آبزیپروری آبهای جنوب کشور از دستیابی به روشی نوین در تکثیر مصنوعی ماهی باس دریایی آسیایی خبر داد. این دستاورد با بهرهگیری از هورمونهای صناعی آهسته رهش حاصل شده است که کیفیت فرایند تکثیر را به طور قابلتوجهی افزایش میدهد.
حسین هوشمند، رئیس پژوهشکده آبزیپروری آبهای جنوب کشور، در این باره توضیح داد: "ما در این پروژه از ایمپلنتهای هورمونی گونادوتروپین آهسته رهش مایعی به شیوه تزریقی استفاده کردیم. این نسل جدید هورمونها قادرند بین ۷۲ تا ۹۶ ساعت به طور مداوم هورمون آزاد کنند که این امر منجر به بهبود درصد لقاح، افزایش نرخ تخمگشایی و در نهایت تولید لاروهایی باکیفیتتر میشود."
وی افزود که سرعت رهش در هورمونهای سنتتیک عادی بسیار کمتر و بین ۱۲ تا ۳۶ ساعت است که این تفاوت، مزیت بزرگ فناوری جدید را نشان میدهد.
هوشمند در ادامه به موفقیتهای دیگر این پژوهشکده اشاره کرد و گفت: محققان ایستگاه تحقیقات ماهیان دریایی بندر امام خمینی در سال ۱۴۰۱ موفق به دستیابی به زی فناوری تکثیر ماهی باس دریایی آسیایی شدند و در سه سال گذشته پروژههای مشترکی را با دانشگاههای مختلف و شرکتهای دانشبنیان در جهت ارتقا زی فناوری تکثیر و القا رسیدگی و تغییر جنسیت در ماهی باس دریایی آسیایی اجرا نمودهاند.
این دستاورد جدید و با ارزش با تلاش شبانهروزی محققان پژوهشکده آبزیپروری آبهای جنوب کشور و با همکاری ارزشمند دانشگاه گیلان و حمایت مالی بنیاد علم ایران در قالب یک طرح پژوهشی مشترک به ثمر نشسته است و نویدبخش آیندهای روشنتر برای تولید و پرورش اینگونه ارزشمند آبزی در کشور است.


